النشرة البريدية للجمعية الألمانية السورية لطب الأعصاب - العدد #3 |
| 2 فبراير 2026 • بواسطة الجمعية الألمانيّة السورية لطب الأعصاب • #العدد 3 • عرض في المتصفح |
|
|
دورية NEJM تضع دراسة Distal Study و دراسه Escape Mevo في المرتبة الأولى من المقالات الأكثر أهميّة لعام 2025 في كل مجالات الطب |
|
|
نشرت الدورية الشهيرة في ديسمبر عددًا بأهم المقالات الأصلية في عام 2025، ليتربع على رأسها دراستين في مجال الأمراض العصبيّة الوعائيّة . خلصت الدراستان إلى أن استئصال الخثرات في مرضى انسداد الشرايين المتوسطة والصغيرة خلال 12 ساعة لم يؤدِ إلى تحسن في نسبة الإعاقة بعد 90 يومًا. هل غيّرت هذه الدراسة من تعاملكم مع هذه الشريحة من المرضى؟ لقراءة الدراستين: 1،2. |
تعليق البروفيسور موكو على هاتين الدراستين: |
|
كان هناك بعض المحددات في الدراستين وهي ان المرضى المشمولين كانو أكثر تقدما بالسن بالاضافه لانخفاض مشعر NIHSS عند اغلب المرضى المشمولين وذلك كون المرضى الذين كان لديهم NIHSS عالي كان يتم التداخل عليهم بدون ادخالهم في الدراسه. وهذا مايضعف نتائج الدراستين مع انحيازفي النتائج ويذكرنا في أول ثلاث دراسات سلبيه عن الترومبيكتومي بشكل عام سنه 2013 قبل ظهور الخمس الدراسات المعروفه في ال 2015 |
ملخصات الدراسات |
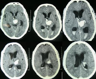
هل يساعد التداخل الجراحي الطفيف التوغل في علاج النزف الدماغي فوق الخيمة؟ |
|
للإجابة عن هذا السؤال وزّع الباحثون في 32 مركزًا طبيًا 264 مريضًا على مجموعتين، الأولى (154 مريضًا) تلقت العلاج الطبيّ فقط، بينما أُجري تدخل جراحي طفيف التوغل لمرضى المجموعة الثانيّة (82 مريضًا).تراوح عمر المرضى بين الثامنة عشرة والثمانين، بينما شغل النزف الدماغي حيزًا بين 20 إلى 80 مل. وحصل المرضى على ست نقاط أو أعلى في مقياس NIHSS، بينما توزعت نتائج مقياس جلاسغو للغيبوبة بين 5 و15. |
حقوق الصورة: ويكيمديا |
|
شمل الهدف الأولي للدراسة الموت والإعاقة بعد 180 يومًا من العلاج اعتمادًا على مقياس mRS، بينما كان الهدف السلامة الأولي معدل الوفيات خلال 30 يومًا. |
|
ووصلت الدراسة إلى أنّ التداخل الجراحي طفيف التوغل لم يساهم في تخفيض معدل الوفيّات خلال أول 30 يوم ولم يحسن من نسبة الإعاقة خلال 180 يومًا في مرضى النزيف الدماغي فوق الخيمة مقارنةً بالعلاج الطبي المعتمد. |
|
نُشرت الدراسة في دورية جاما. |
حمض الفوليك عند الحمل لدى المصابات بالصرع والتأثيرات على الأطفال |
|
نُشرت العديد من الدراسات في السنوات الأخيرة عن المخاطر المحتملة للأدوية المضادة للصرع (ASM) في إحداث تشوهات خلقية،. ويبدو أن هذه المخاطر مؤكدة بالنسبة لبعض الأدوية المضادة للنوبات الصرعيّة، بما في ذلك مخاطر الإصابة باضطرابات طيف التوحد واضطرابات النمو المعرفي. وثبت التأثير الإيجابي لتناول حمض الفوليك قبل الحمل. ومن غير الواضح ما إذا كانت الجرعات العالية من حمض الفوليك قد تكون أكثر خطورة. |
تم تصميم الصورة بوساطة الذكاء الاصناعي جيميناي |
|
شملت الدراسة المستقبلية متعددة المراكز وغير العشوائية النساء الحوامل المصابات بالصرع وغير المصابات به في الفترة ما بين 2012 و 2016. خضع الأطفال بعد وصولهم سن السادسة لفحوصات عصبية نفسية شاملة باستخدام اختبارات موحدة، لا سيما في مجال الأداء اللفظي. وأجريت مقارنة بين المجموعات، مع مراعاة العديد من العوامل التي قد تتداخل. وشمل ذلك الرضاعة الطبيعية والتعرض لحمض الفوليك وجرعته، بالإضافة إلى استطلاعات موحدة للمزاج والقلق والتوتر ونوعية النوم. وقُدّر تعرض الجنين للأدوية المضادة للنوبات بناءً على التركيزات القصوى في مصل الأم في الثلث الثالث من الحمل. بالإضافة إلى حساب ارتباط تعرض الأمهات للفولات قبل الحمل. |
|
النتائج: شملت الدراسة 456 طفلاً، واختلفت الأمهات بشكل كبير من حيث معدل الذكاء والتعليم المدرسي والجامعي والعمر، واختلف الأطفال من حيث الطول عند الولادة. لم تكن هناك فروق في درجة المؤشر اللفظي. وتجدر الإشارة إلى أن 232 من أصل 298 حالة حمل للنساء المصابات بالصرع تمت تحت تأثير لاموتريجين أو ليفيتيراسيتام. |
|
واستنتج المؤلفون عدم وجود فروق في النتائج العصبية النفسية بين أطفال الأمهات المصابات بالصرع وأطفال غير المصابات به، وأنه من المهم اختيار جرعات الأدوية المضادة للنوبات عالية بما يكفي للحماية من النوبات ومنخفضة بما يكفي لتجنب إلحاق الضرر بالأطفال، وأن حمض الفوليك مفيد بغض النظر عن الجرعة. نُشرت الدراسة في دورية جاما. |
موجز الأخبار |
|
ترقبوا تنظيم يومٍ علميّّ عملي تقيمه الجمعيّة Skill Lab، فيه يستطيع المشاركون التناوب في عدة محطات في مختلف التطبيقات التشخيصية العصبيّة. |
|
ويسرنا دعوتكم لحضور في مؤتمر الجلطة الدماغيّة السوري الأول في دمشق في الثالث والرابع من نيسان/أبريل الحالي. سيشارك بعض أعضاء الجمعيّة كمحاضرين في هذا المؤتمر. |
|
وفي النهاية ندعوكم للمشاركة في الرابطة التخصصية، من خلال تعبئة طلب الانتساب، حيث تبلغ قيمة الاشتراك السنوي 40 يورو للأطباء المقيمين و50 يورو للأطباء الأخصائيين في ألمانيا، الاشتراك السنويّ للأطباء المقيمين في سوريا مجانيّ. |
|
لمشاركة موضوع معيّن في النشرة البريديّة القادمة أو لإرسال التعليقات يمكنكم مراسلتنا على بريد الجمعيّة الإلكتروني [email protected] أو على بريد النشرة [email protected]. |



التعليقات